1日入れ歯って?
1日でキレイな歯になる!!ということです
朝来院して、夕方帰るときには入れ歯が入っている
状態になるのが「1日入れ歯」です。
歯のない状態で家に帰ることはありません。
初回の無料相談時の情報をもとに、下記スケジュールで進めます。
| 10:00 | 治療開始(麻酔後、抜歯などの外科処置/型採り) |
|---|---|
| 12:30 | 治療用入れ歯制作(患者様は雑誌などを読んで休憩していただけます) |
| 15:00 | 調整 |
| 16:00 | 治療終了※「1日入れ歯」の前に2時間程度、相談のお時間をいただきます |
お客様に選ばれる
7つの理由
01
1日1名様限定
歯科医師、麻酔担当医、歯科技工士、歯科衛生士がタッグを組んであなたに
付きっ切りで対応します。
周りを気にせず、ゆったりとお過ごしください。
02
技工士常駐
入れ歯作成は院外の歯科技工所にお願いするケースがほとんどですが、
当院は歯科技工士が常駐しています。
また、入れ歯を作る職人である「入れ歯専門技工士」で30年以上のキャリアを持つ
高い技術の持ち主です。
03
寝ている間にできるので、恐怖症でも大丈夫
当院でも用いられる麻酔は、インプラント治療や胃カメラ撮影などで用いられる
「静脈内鎮静法(じょうみゃくないちんせいほう)」です。
うたた寝している感覚で、特に同時に多くの歯を抜く場合は有効です。
その間に抜歯等の外科的処置や歯形を採るので、恐怖心や嘔吐反応がほぼない状態で
治療が出来ます。
04
見た目と噛めることを同時に解決
入れ歯のメリットは、噛めるようになるだけではありません。
笑った時に見える歯がキチンとするだけでなく、
顔貌(がんぼう:顔全体のフォルム)も変わり、
ほうれい線が薄くなるなどの若返り効果も期待できます。
05
抜歯後は治療の促進コラーゲン使用
抜歯をした場合、傷の治りを早くするためのコラーゲンを用いるので、
傷の治りが早くなります。
06
初回相談無料
「先生との相性が合うかどうか心配」相性が合う合わないは、
実際にお会いしないとわかりません。
初回相談の時間は2時間たっぷりととっており、その相談費用は無料なので安心です。
07
全額返金保証
ご期待にそえない場合、全額返金保証いたします。
料金・コース
Aコース
40~50万円
Bコース
70~80万円
Cコース
150~200万円
抜歯した直後の歯肉は、治療まで時間が必要です。
そのため、治療後に末長く使用できる義歯をもう一度作成いたします。
費用はコース料金に含まれていますのでご安心ください。
※治療費も消費税込みの価格です※片顎(へんがく:上か下か片方)の料金です。
※再診料で毎回3,300円ほど掛かります。
■銀行振込
■院内ローン
- ■デンタルローン
- スルガ銀行
- スマイルローン
■クレジットカード
先生の紹介
院長 福島章浩
| 1983年 | 東京医科大学卒業 |
|---|---|
| 1994年 | あさひクリニック・歯科 開業 |
症例
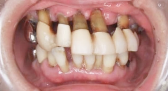
1.年齢:66歳
2.主訴:主訴主訴主訴主訴主訴主訴主訴
3.診断:歯が取れかかっている
4.期間:01月〜03月
5.料金:50万円
6.事前に知ってもらいたい事:事前に知ってもらいたい事
7.主なリスク、副作用に関する事項:副作用に関する事項
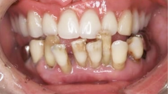
1.年齢:66歳
2.主訴:主訴主訴主訴主訴主訴主訴主訴
3.診断:歯が取れかかっている
4.期間:01月〜03月
5.料金:50万円
6.事前に知ってもらいたい事:事前に知ってもらいたい事
7.主なリスク、副作用に関する事項:副作用に関する事項
Q&A
お昼ご飯は食べられますか?
午前中に主な診療は終わりますので、お食事や外出は可能です。ですが「院内で待ってます」という方が多いです。
歯は抜くのでしょうか?
それぞれの患者様の状態を拝見してから診察します。
適切な時に適切な治療を、具体的には本来抜かないといけない状態の歯をだましだまし使うことでかえって状況が悪くなっていることがあります。
「歯を抜かない治療⇒いい治療」ではなく「適切な時に適切な治療をする⇒いい治療」です。
入れ歯の歯や歯ぐきの色はどう決めるのですか?
患者様の要望をお聴きして、よりご満足いただけるよう再度入れ歯を作成するというケースがほとんどです。
歯や歯ぐきの色や形は、審美性や顔貌が大きく変わる大事な要素ですので、追加費用はいただいておりません。
入れ歯装着時に金具は目立ちますか?
目立ちません。
ノンクラスプデンチャーという金属を使わない入れ歯を使用しています。
アクセス
| 最寄駅 | 五反田駅より徒歩2分(JR山手線/都営地下鉄浅草線/東急池上線) |
|---|---|
| 住所 | 東京都品川区西五反田1丁目28番3号 ハイラーク五反田1004号 |
| 診療時間 | 10:30~13:30/14:30~18:30 |
| 休診日 | 土曜日日曜日(祝祭日は診療いたします。) |
| 診療科目 | 入れ歯(義歯)治療専門歯科医院 |
| 受付時間 | 月 | 火 | 水 | 木 | 金 | 土 | 日 | 祝 |
|---|---|---|---|---|---|---|---|---|
| 午前 10:30~13:30 | ● | ● | ● | ● | ● | ✖️ | ✖️ | ● |
| 午後 14:30~18:30 | ● | ● | ● | ● | ● | ✖️ | ✖️ | ● |
受付時間 10:30~18:30 祝祭日は診療 土曜、日曜休診
お問い合わせ
入れ歯(自由診療)に関する無料メール相談を行なっております。
下記のメールフォームに、ご相談内容をご記入の上、送信ボタンを押してください。
保険診療の入れ歯は、当院では行なっておりませんので、ご相談の対象外とさせていただきます。
